김진수 한국원자력의학원 박사 연구팀이 고지혈증약 ‘아토르바스타틴+방사면역치료제 방사성요오드-리톡시맙암치료효과’를 높이고

방사선암 치료 효과를 높일 수 없거나 암세포는 증식하는 과정에서 쉽게 저산소 증상태가 되고, 저산소암세포는 산소가 부족한 환경에서도 살아남아 악성도를 증가시켜 방사선 치료를 어렵게 하는 요인으로 알려져 치료 효과를 높이기 위한 다양한 연구가 시도되고 있습니다.
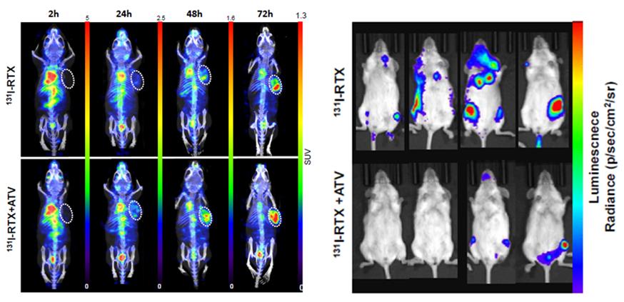
림프종, 방사면역치료제와 고지혈증제를 함께 사용했더니 치료효과가 30% 이상 증가했고 연구팀은 림프종 모델쥐를 방사성요오드-리톡시맙 단독투여군, 방사성요오드-리톡시맙+아토르바스타틴 병용투여군으로 나눠 단일광자단층촬영(SPECT)으로 치료효과를 비교 관찰했습니다.
아토르바스타틴을 병용 투여한 쥐는 종양에 침투하는 방사성 요오드-리톡시맙이 단독 투여군보다 20% 이상 증가했고 종양 파괴 효과도 단독 투여했을 때보다 30% 이상 증가했습니다.
연구팀은 아토르바스타틴 투여 시 산소가 부족한 환경에서도 암세포가 적응할 수 있도록 하는 히프1 유전자(HIF-1α, 저산소증 유도인자)가 감소했고 이는 아토르바스타틴이 세포 내 유전자 발현을 조절하는 마이크로알엔에이346(microRNA346)을 증가시켰기 때문에 나타난 결과라고 밝혔습니다.
현재 의학원은 국내에서 유일하게 고유기술로 제작한 방사면역치료제 방사성요오드-리톡시맙으로 난치성 림프종 임상연구를 진행하고 있으며 지난해 김진수 박사 연구팀은 아토르바스타틴을 표적항암제 트라스투주맙과 함께 투여하면 인지기능을 떨어뜨리는 항암제의 부작용을 억제하고 항암효과를 높일 수 있다는 연구성과를 발표한 바 있습니다.

고지혈증 치료제인 아토르바스타틴을 방사성 요오드가 표시된 리톡시맙과 동시에 투여했을 때 암 치료 효과가 증진된다(SPECT-단일 광자단층촬영영상) 김진수 박사를 비롯한 김은호, 고해영, 이승숙, 강해진, 임상무 박사팀과 오송첨단의료산업진흥재단 유아람, 이재준, 강민경 박사팀이 주도한 이번 연구는 국제암학술지 저널 캔서스(Cancers) 2020년 5월 11일자 온라인판에 게재되었습니다.
이번 병용치료 효과 입증으로 임상시험을 통해 방사성 동위원소 및 방사선을 이용한 암치료 상용화를 앞당겨 국내 난치성 암환자가 빠른 치료 혜택을 받을 수 있기를 바랍니다.한국원자력의학원 김진수 박사 연구팀

방사선의학연구소 김진수 박사