심장 초음파 검사 활용 웰 에이징 김종혁 내과
심장초음파검사는 심장의 해부학적 구조를 확인할 때 가장 유용하게 쓰인다.
심장근육의 두께, 전체적인 심장의 크기, 판막의 기능, 그리고 다른 복부초음파와의 큰 차이는 심장의 혈역학적 상태를 평가하는 것이지만

좌심실에서 대동맥으로 나가는 혈류 속도 및 좌심방에서 좌심실로 들어갈 때의 혈류속도 심장의 조직 움직임 속도 등을 평가하고 이완기 심부전 등을 평가하는 것이
심장초음파검사가 다른 검사를 대체할 수 없는 가장 핵심적인 역할을 한다고 볼 수 있다.

오늘은 우리 병원에 갔던 두 환자의 증례를 통해 심장 초음파로 가려졌던 질환을 진단한 경우를 공유하고 싶다.
36세의 여성 환자로 이 병원 내원 이틀 전에 캄캄해지는 실신 전조증상과 어지럼증이 느껴져 다른 병원에서 진료한 뒤 내원한 환자다.
일반적으로 대동맥 박리가 일어나는 경우는 말판증후군의 가족력이 있거나 혈압이 높은데도 혈압조절을 하지 않는 경우가 일반적이며 교과서적으로 박리가 일어날 때
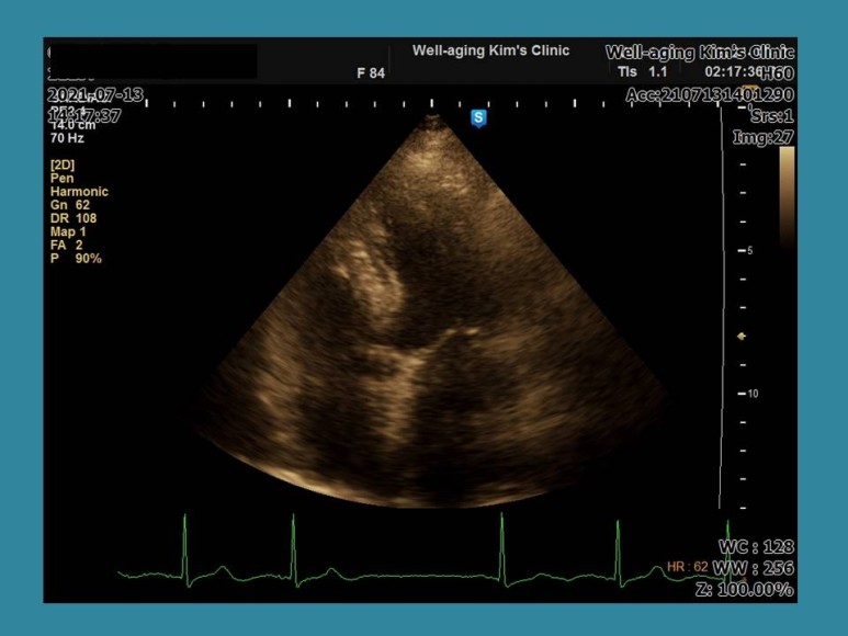
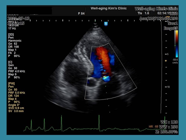
parasternal long axis view: 대동맥이 뻗어있고 흰 선처럼 움직이는 것이 찢어진 대동맥벽(대동맥 발리) 소견이다.칼로 후비는 듯한 심한 흉통을 호소하는 것으로 알려져 있으며 실제로 응급실을 방문해 이런 증상을 호소할 경우 대동맥 박리를 발견하는 경우가 많다.
그러나 이 환자는 통증의 호소도 없었고 신체 체형이 마르판 증후군에 맞지 않았고 혈압도 높지 않았다.그래서 검사 중에 잠시 고민을 했다.
불편한 증세는 있지만 이틀 동안 집에서 지내고 건강하게 걸어오고 대동맥 박리라니…
오르막 대동맥 부위에 대동맥 박리가 일어나면 수술적 치료가 정답이다.
그것도 무조건 초응급수술 , , , , , , , , , , , , , , , , , , , , , , , ,
보통 상행대동맥이 터질 때 심근경색처럼 급사하기도 하고 박리가 진행되면서 생명에 지장을 주는 일촉즉발의 상황으로 가는 경우가 대부분이지만 이틀 동안 집에서 무사히 지냈다는 게 천우신조가 아닌가 싶다.
둥근 원이 대동맥을 나타내고 그 안에 하안선처럼 움직이는 것이 대동맥벽이 찢어진 것(flap); 대동맥 박리소견이다.어차피 급박한 상황이기 때문에 환자와 보호자에게 상황설명 후 119 응급호출 후 상급병원으로 이송한 경우이다.
한 달 보름이 지나 환자가 찾아왔다.수술 잘 받으셨고 상태가 괜찮으시다고…^^의사는 역시 이럴 때 보람을 느낀다.
상행 대동맥에 흰 선이 움직이는 것이 대동맥이 박리된 상태.다음 증례는 83세 여성 환자로 성형외과 수술을 앞두고 수술 전 심장 평가를 위해 내원한 경우다.그쪽 병원에서 보내준 심전도는 정상이었지만.

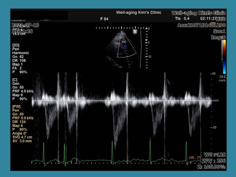
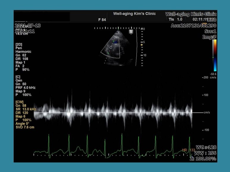
심장 초음파 검사를 실시하는 동일 안심 장박동수가 130회/분으로 갑자기 빨라지고 다시 정상 리듬으로 돌아왔다.가

이번에는 갑자기 심장박동기가 40~50회/분으로 느려지다가 중간에 동성정지 소견이 나타나고 불규칙한 맥박으로 바뀌는 상황이 3~4회 반복됐다.

이 경우 전형적인 빈맥-서맥증후군에 해당하며 환자가 증상은 없었지만 일단 수술을 중단하고 상급병원으로서 24시간 심전도 등의 검사가 필요하다는 것을 설명하고 이 환자는 인공심장박동기를 삽입할 수도 있는 경우이다.

이 환자의 경우도 외부 병원에서 찍은 심전도는 정상이었으나 심장 초음파 검사 중 우연히 부정맥이 발현돼 진단을 받은 경우다.

심장초음파검사가심장의해부학적구조를확인할때유용하다고말씀드렸는데
이 병원을 찾은 이 두 환자의 사례는 좀처럼 보기 힘든 귀한 증례의 소견이었다.
고혈압으로 오랫동안 치료를 받았거나 혈압이 높았지만 오랫동안 치료를 받지 않았더라도 심장의 혈역학이 바뀔 수 있어 심장 초음파 검사가 필요하다.

판막 기능이 문제가 있을 때도 가벼운 상태인지 심한 상태인지를 감별하는 것도 심장 초음파 검사에서만 가능하다.
이 밖에 심장혈관이 완전히 막히거나(심근경색), 심하게 막혀 혈류가 심하게 문제가 생긴 경우, 심장근육의 움직임이 약해지고 심장초음파검사를 실시할 경우 활동이 저하됐음을 확인할 수 있다.
강서구 웰에이징의 김종혁 내과는 심장내과 전문의로서 대사증후군인 고혈압, 당뇨, 고지혈증 질환을 특히 전문적으로 집중 관리합니다.서울특별시 강서구 양천로 600 파인블루빌딩 6층


