
축농증(부비강염)을 적절하게 치료하지 못하면 인접한 안와, 두개, 뇌로 염증이 파급되는데 치료 지연, 면역력 감소, 항생제 내성균 등이 원인이 됩니다.축농증 합병증과 함께 부비강염의 원인, 증상, 코 내시경 검사, 한의원 치료에 대해 알아보겠습니다.
합병증은 크게 안와 내와 두개 내로 나뉘는데 대표 합병증으로 안와봉와직염, 뇌수막염, 뇌농양 등이 있습니다.
부비강의 구조부터 먼저 부비강의 구조를 알아 둘 필요가 있습니다.축농증(부비강염) 합병증은 부비강과 해부학적으로 가까운 안와, 두개, 뇌에 파급되기 때문입니다.

우골동, 상악동부 비강은 코 주위의 빈 공간으로 두개골을 가볍게 하고 음성 공명, 흡기가습, 콧속의 압력 조절 작용을 합니다.그리고 좁은 출입구를 통해서 비강과 연결되어 있습니다.양쪽 눈 사이에 우골동이 있고 눈 밑 볼 부분에 상악동이 있습니다.안와내 합병증의 원인 병소는 우골동, 상악동, 전두동의 순서로 알려져 있습니다.

전두동, 사골동, 접형동양미간과 이마 아랫부분에 전두동이, 그리고 전두동 깊숙이 차례로 사골동, 접형동이 자리잡고 있습니다.두개내 합병증의 원인 병소는 전두동, 사골동, 접형동의 순입니다.
안와내 합병증 안와는 우골동(안쪽), 상악동(아랫쪽), 전두동(상부)에 둘러싸여 있으며, 안와의 골벽이 얇기 때문에 염증이 생기기 쉽습니다.주로 뼈 봉합선, 외상 부위, 혈관 등에서 전파됩니다.안와내 합병증은 소아에게 많이 발생하지만, 감기의 빈발, 골벽의 미성숙, 많은 혈관 분포, 열린 뼈 봉합선 등이 원인입니다.

안와내 합병증의 유형 합병증의 진행 과정과 염증의 파급 정도에 따라 안와 주위염, 안와 봉와직염, 골막하 농양, 악와 농양, 해면 정맥동 혈전, 안와첨 증후군으로 구분합니다.

안와주위염 안와주위염은 염증이 안와격막 전방에 한정되어 있어 전체 안와내 합병증의 80% 이상을 차지하고 있습니다.위의 사진과 같이 안검의 종창, 홍반이 나타납니다.

안와직염 안와직염은 안와를 가득 채우고 있는 연부 조직까지 염증이 파급된 상태이며 결막 부종, 안구 돌출, 통증, 안근 마비, 나아가 시력 감퇴를 초래할 수 있습니다.

골막하농양의 CT 영상골막하농양은 안와를 둘러싸고 있는 골막과 부비동 골벽 사이의 농양으로 골막하농양이 안와내측에 농양을 형성하면 안와농양이 됩니다.증상은 안와직염과 유사하며 안근, 시신경 손상이 크고 시력 소실을 유발할 수 있습니다.

골막하농양(왼쪽)과 해면정맥동 혈전, 안와첨증후군(오른쪽)의 MRI 영상 해면정맥동 혈전과 안와첨증후군은 가장 심한 형태의 합병증입니다.해면정맥동과 안와2는 2회~6회 뇌신경이 통과하기 때문에 급격한 시력장애, 복시, 안구운동장애와 함께 결막부종, 안구돌출, 수막염 증상(두통, 오한, 발열)을 동반합니다.
두개내 합병증

두개 내 합병증의 유형 두개 내 합병증의 주요 병소는 전두동염입니다합병증의 유형은 뇌수막염이 가장 많으나 여러 가지 유형이 동시에 나타나거나 전두동이 성장하는 시기인 사춘기나 청년기 남성에서 많이 발생합니다.

뇌수막의 구조 뇌수막 구조는 위 그림과 같이 경질막, 지주막, 연수막의 3층으로 이루어져 있습니다.두개내 합병증의 가장 일반적인 유형인 뇌수막염에서는 두통, 발열, 목강직, 흥분, 기면증의 증상을 보이며 CT나 MRI 검사, 소변 추천자(뇌척수액 검사)가 필요합니다.

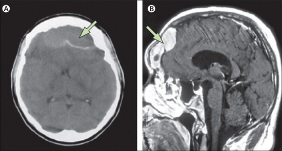
경막 외 농양의 MRI영상 경막 외 농양의 증상은 모호하고, 이마동염과 유사하고 있으므로, 앞머리 통증과 발열이 계속된다고 의심하고 볼 필요가 있습니다.농양이 커지면 뇌압이 상승하고, 국소 운동 장애, 감각 장애, 발작이 보입니다.CT, MRI에서 진단하고 소변 추천자가 정상적인 경우가 많습니다.

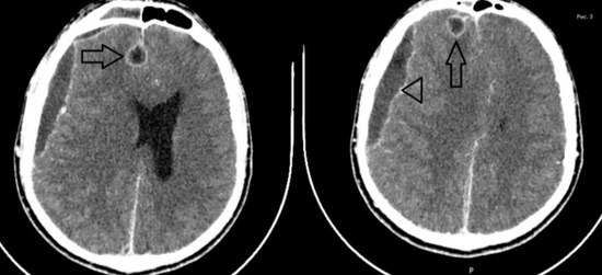
경막하농양(삼각)과 뇌농양(화살표시) MRI 영상경막하농양의 위치는 전두엽 부위에 많은데 대뇌표면을 따라 전파되거나 산발적인 농양이 형성됩니다.초기에는 수막염 증상을 보였으나 급속히 악화되어 의식 저하, 편마비, 발작을 볼 수 있습니다.뇌농양의 경우 크기가 커지면 뇌압의 상승과 함께 대뇌 탈출, 농양 파열로 사망에 이를 수 있습니다.
축농증의 원인

정상(왼쪽), 축농증(오른쪽) 부비강염은 코감기의 연장선으로 보입니다.코감기나 알레르기성 비염이 만성화되면 세균이 부비강 내에서 증식하고 화농성 방출물을 생성하여 빈 공간에 농도가 축적됩니다.그래서 축농증이라고 부릅니다.

후비루 급성에서는 따끔거리는 노란 콧물이 나오고 진행되면 옅은 녹색을 띠게 됩니다.만성화되면 질긴 흰 콧물이 나오기도 하고 콧물 없이 코막힘(비폐색)만 호소하기도 합니다.코막힘이 계속되면 냄새도 맡기가 어렵고, 후각신경까지 손상되면 후각장애가 평생 남을 수 있습니다.머리, 눈 주위, 뺨과 치아에 통증, 압통, 무거운 느낌을 느낄 수 있지만, 부비강염의 위치에 따라 통증 부위도 달라집니다.끈적거리는 콧물이 목 뒤로 가면 목의 이물감, 기침, 아데노이드의 염증이나 비대를 일으킵니다.소아의 경우 비강과 연결되어 있는 이관이 성인에 비해 넓고 짧으며 수평에 가깝기 때문에 중이염이 쉽습니다.
경희한의원의 코내시경 검사, 치료사진

경희미약한 의원의 코 내시경 검사 축농증 상태는 비강에 반영되기 때문에 코 점막의 붓기, 염증, 분비물, 통기상태를 파악하는 것이 중요합니다.경희한의원에서는 경희대학교 한방병원 출신의 한의원이 이비인후과 전문의 조재훈 박사가 직접 검사하고 진료합니다.소아축농증 환자의 치료 전후 사진을 소개합니다.
7세 남성, 8주 치료기간(치료전->치료후)


치료 전(좌), 치료 후(우)
경희대학교 한방병원 출신 한방안이비인후피부과 전문의 조재훈 박사 진료
